症例紹介
ダイレクトボンディング
治療前
治療後
歯を一切削らずに樹脂のみを詰めて審美的に仕上げました
治療前
以前詰めた樹脂の変色を主訴に来院
治療中
極力、天然の歯は削らず樹皮のみを撤去
治療後
自然な仕上がりに
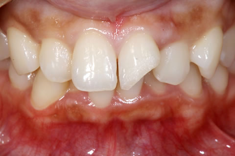
審美補綴
治療前
前歯の審美障害を主訴に来院
治療後
1本の被せ物とダイレクトボンディングで治療しました
セラミッククラウン
治療前
治療後
隙間が空いている被せ物をセラミックで修復しました。
天然の歯と見分けがつかないほど、綺麗に仕上がりました
治療前
治療後
前歯計6本をセラミックで修復し、審美的かつ精度が良い被せ物が入りました
治療前
銀歯と歯の隙間から多数のむし歯ができていました
治療後
歯との隙間が少ない、精度の良いセラミックで治療しました
ラミネート
治療前
治療後
薄いセラミックを張りつけ審美的に仕上げました



